Tanden bleken

In de zoektocht naar een prachtig wit gebit kiezen steeds meer mensen ervoor hun tanden te laten bleken. Het is een populaire methode om gele tanden witter te maken en beter voor de dag te komen.

Maar wat houdt tanden bleken precies in, en waarom zou je ervoor kiezen om dit bij ons te laten doen?

Wat is tanden bleken?

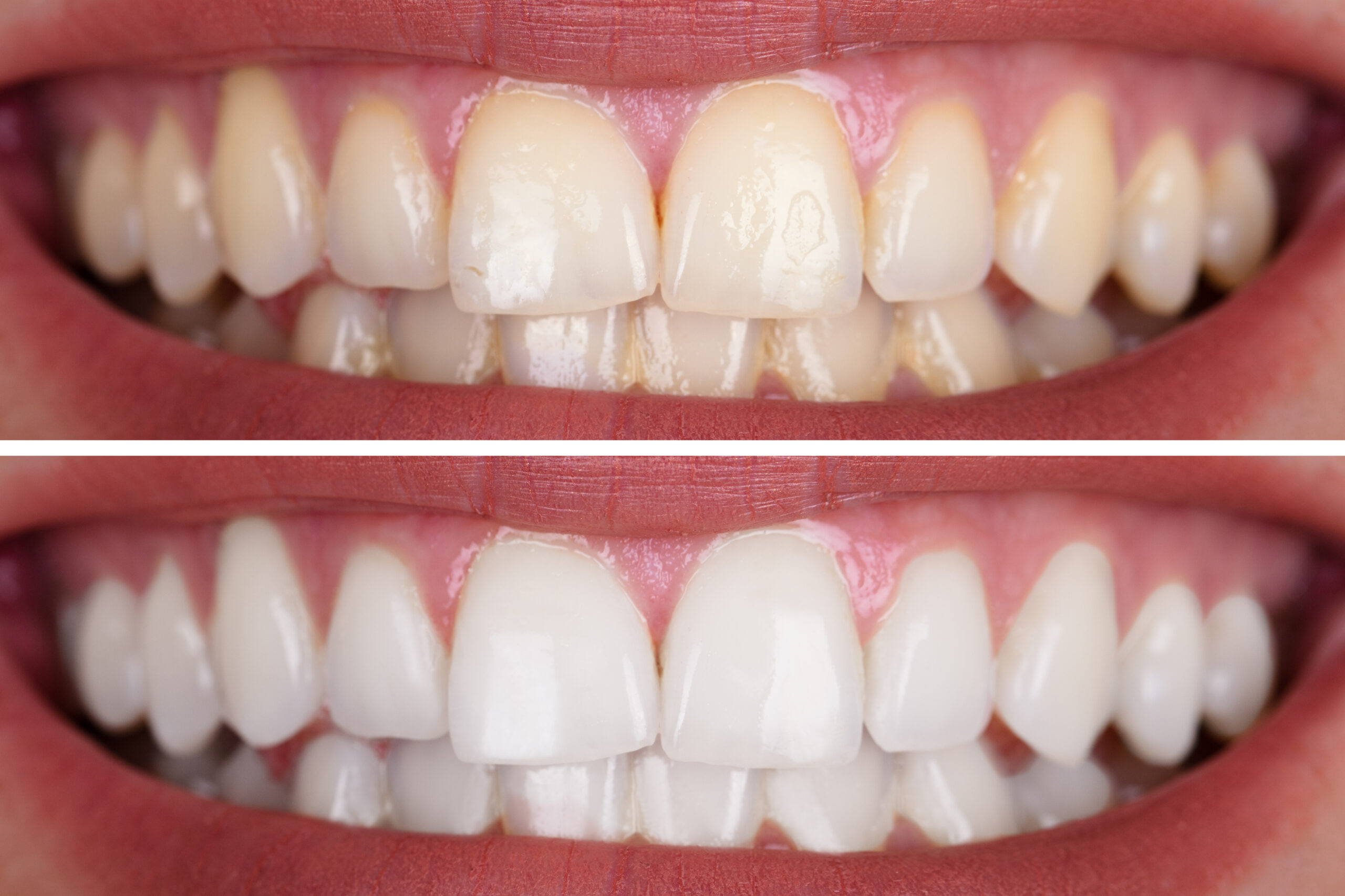
Tanden bleken is een cosmetische behandeling waarmee je tanden enkele tinten lichter gemaakt worden. Het doel is om verkleuringen op je tanden effectief aan te pakken en een wit gebit te krijgen. Verschillende factoren zoals roken, koffie, thee en rode wijn kunnen leiden tot verkleuringen op je tandglazuur.

Gelukkig kunnen onze professionele bleekbehandelingen deze vlekken verminderen of zelfs volledig verwijderen. Door onze jarenlange ervaring en professionele behandelingen die gebasseerd zijn op echte resultaten ben je bij ons aan het juiste adres.

Maak een afspraak

Veilig met de nieuwste technologieën

Wij zetten de gezondheid van je tanden en tandvlees altijd voorop. We gebruiken alleen de nieuwste technologieën en goedgekeurde producten die speciaal zijn ontworpen om veilig te zijn voor je tandglazuur en tandvlees. Zo kun je ook bij ons terecht wanneer je gevoelige tanden hebt. Onze methoden worden voortdurend geüpdatet om te voldoen aan de hoogste veiligheidsnormen.

We weten dat het kiezen van de juiste bleekbehandeling nogal een stap kan zijn, vooral met alle verschillende opties die de markt te bieden heeft. Daarom nemen we graag de tijd om je grondig te informeren over onze procedures en om al je vragen te beantwoorden. Hierdoor kun jij met een gerust hart de beslissing nemen om je tanden te laten bleken, wetende dat je bij ons in goede handen bent.

De voordelen van professioneel tanden bleken

Veel mensen hebben last van gele tanden. Gelukkig zijn er verschillende methoden om je tanden witter te maken. Daarbij is het laten bleken van tanden een populaire optie. Onze behandeling zorgt ervoor dat je tanden witter worden en je zelfverzekerder kunt glimlachen. In tegenstelling tot thuismiddeltjes, waarbij de resultaten vaak beperkt zijn of onbetrouwbaar, biedt een professionele behandeling langdurige resultaten.

Tijdens de behandeling worden je tanden gebleekt met een speciale gel die diep in het tandoppervlak dringt en verkleuringen verwijdert. Maak daarom snel een afspraak, zodat je kunt genieten van een stralend witte glimlach en een verbeterde mondgezondheid.

Maak een afspraak
Schone tanden

Hoe werkt tanden bleken?

De eerste sessies

Tijdens je eerste sessie onderzoeken wij je gebit om te bepalen welke behandeling het beste bij je past. We beoordelen de staat van je tandglazuur en of er eventuele gevoeligheden zijn. Vervolgens wordt de bleekgel met zorg aangebracht om de verkleuringen te verwijderen.

De behandeling

De bleekbehandeling zelf is pijnloos en duurt ongeveer een uur. Je kunt ontspannen in onze comfortabele stoelen zitten terwijl de gel zijn werk doet. Dankzij onze geavanceerde methoden zijn de resultaten direct na de behandeling zichtbaar, zodat je gelijk kunt genieten van het resultaat.

Nazorg en onderhoud

Na de behandeling adviseren we je over de beste manieren om je wittere tanden te behouden. Dit kan het gebruik van bepaalde tandpasta’s en mondspoelingen omvatten. Daarnaast raden we aan om regelmatig ons te bezoeken voor controle en onderhoud van je gebit.

Maak een afspraak

info@mondzorgmaaswijk.nl

0181-787562

Ma - Do: Op afspraak

Vr - Za: 9:00 - 17:00

Zo: Gesloten

Informatie

Diensten

Tarieven

Blog

Social media

Instagram

Facebook

© 2024 Mondzorg Maaswijk. Alle rechten voorbehouden.